Hoffman 3-D腦模體,霍夫曼腦模體主要特點:
-在腦部SPECT及腦部PET的研究中,從解刨學角度精確的模擬放射性分布;在MRI研究中,精確模擬質子密度及馳豫參數打的分布
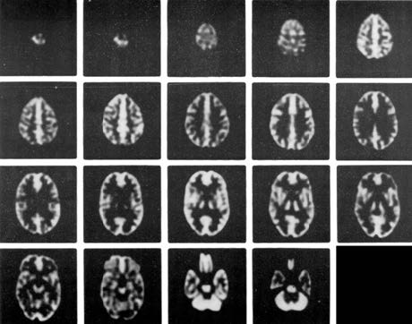
Anatomically accurate simulation of radioactivity distribution for brain SPECT and brain PET studies* and distribution of proton density and relaxation parameters for brain MRI studies
-在血流和代謝研究中模擬正常灰質和白質的4:1攝取率(按部分體積效應模擬)
Simulates 4:1 uptake ratio (by partial volume effect) seen for normal gray and white matter in flow and metabolic studies
-單體填充腔設計,消除了制備不同濃度放射性物質的必要
Single fillable chamber eliminates the necessity of preparing different concentrations of radioactivity
-為基底神經節區域提供了可填充固體缺陷
Fillable and solid defects for basil ganglia region available
Hoffman 3-D腦模體,霍夫曼腦模體主要應用領域:
-可用于腦部ECT研究中對圖像獲取及重建方法的評估
Evaluation of acquisition and reconstruction methods for brain ECT studies
-3-D重建方法評估
Evaluation of 3-D reconstruction methods
-3-D衰減及散射補償方法評估
Evaluation of 3-D attenuation and scatter compensation methods
-3-D SPECT, PET及MRI系統配準技術評估
Evaluation of 3-D SPECT, PET and MRI registration techniques
-科研應用
Research
Hoffman 3-D腦模體,霍夫曼腦模體規格:
-模體圓柱部分內徑:20.8 cm
Cylinder inside diameter: 20.8 cm
-模體圓柱部分內高:17.5 cm
Cylinder inside height: 17.5 cm
-可填充部分容積:~1.2 L
Fillable volume: ~ 1.2 liter
Hoffman 3-D腦模體?相關配件、附件:
【Hoffman 3-D腦部模體固體缺陷模擬物套裝(2)】
3D Brain Phantom Solid Defects Set (2)
型號/Model:BR/3D-SOL/SET2
-可對基底神經節區域的冷&熱缺陷進行定位
Hot and cold defects can be located in the basil ganglia region
-可幫助使用者確定缺陷的圖像形狀
Allows user to determine image shape of the defect

聯系賣家:凈康
交易榮譽:一噸象
服務商等級:普通會員
所在地區:深圳市龍崗區南灣街道吉廈社區沙平北路111號